
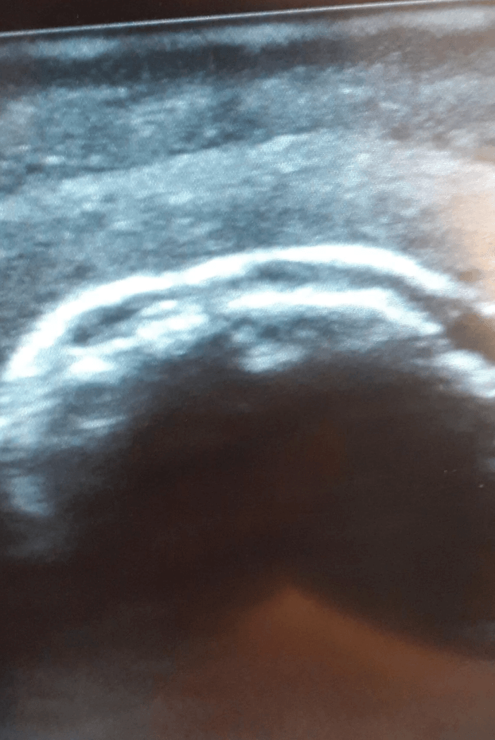
Das Ultraschall – Übungsmodell Schulter bietet eine präzise und lebensgroße Darstellung einer menschlichen Schulter mit detaillierten anatomischen Strukturen. Es zeigt den Oberarmknochen, das Schulterblatt, das Schlüsselbein, das Lig. acromioclaviculare sowie das Bizepsband. Dieses Modell ist ideal für die Schulung von Ultraschalltechniken und das Üben der Punktierung der Schulterregion. Die Schulter kann mit Nadeln der Größe 27 Gauge (0,4 mm) bis 22 Gauge (0,7 mm) punktiert werden, was eine realistische und effektive Übung der Injektionstechniken ermöglicht.
Anwendungsbereiche:
Das Ultraschall – Übungsmodell Schulter eignet sich hervorragend für:
-
Schulung in der Ultraschalltechnik der Schulterregion
-
Übung der Punktierung von Schulterstrukturen mit Nadeln
-
Ausbildung von Ärzten, Sonographen und medizinischem Fachpersonal in der Ultraschallgeführten Injektion
-
Verbesserung der Fähigkeiten in der Sonographie und Nadelplatzierung bei Schulterverletzungen und -behandlungen
Vorteile auf einen Blick:
-
Lebensgroße Darstellung: Bietet eine präzise Nachbildung der menschlichen Schulter mit relevanten anatomischen Strukturen
-
Realistische Ultraschallbilder: Detailgetreue Ultraschalldarstellung für eine realistische Übung und effektive Schulung
-
Punktierbar: Das Modell ermöglicht das Üben der Punktierung der Schulterregion mit Nadeln der Größen 27 bis 22 Gauge
-
Hohe Bildqualität: Exzellente Bildqualität für präzise Ultraschallführung und gezielte Injektionen
-
Vielseitig: Ideal für die Übung von Injektionen, Nadelplatzierungen und Ultraschalluntersuchungen der Schulter
-
Hochwertige Verarbeitung: Robustes Material für langanhaltende Nutzung und wiederholtes Training
Weitere Informationen:
Das Ultraschall – Übungsmodell Schulter bietet eine praxisorientierte Schulung für medizinisches Fachpersonal, das Ultraschalltechniken in der Schulterregion erlernen oder verbessern möchte. Das Modell hilft dabei, Fähigkeiten in der Punktierung und der Injektion in verschiedenen anatomischen Strukturen der Schulter zu entwickeln.
Lagerung:
Lagern Sie das Modell an einem trockenen, kühlen Ort, um seine Lebensdauer und Bildqualität zu erhalten.
Hersteller:
Erler-Zimmer GmbH & Co. KG
Hauptstrasse 27
77886 Lauf
Deutschland
Tel: +49 07841 / 67191-0
E-Mail: info@erler-zimmer.de
Ust-IdNr.: Achtung! Medizinisches Ausbildungsmaterial, kein Spielzeug. Nicht geeignet für Personen unter 14 Jahren. Attention! Medical training material, not a toy. Not suitable for persons under 14 years of age.
- - - - - - - - - - - - - - - - - - - - - - - - - - - - - - - - - - - - - - -
Lieferinformationen:
WEEE Nummer:
Hilfsmittelnummer: